Advertisement

Biliary Atresia Radiology - Biliary Atresia Color Doppler Us Findings In Neonates And Infants Radiology - Symptoms start shortly after birth;

Biliary Atresia Radiology - Biliary Atresia Color Doppler Us Findings In Neonates And Infants Radiology - Symptoms start shortly after birth;. On the left we see the normal development of the ductal plate. It can be congenital or acquired. Pretreat with phenobarbital for 1 week to optimize liver uptake, decreased uptake of radiotracer in liver, no excretion of radiotracer into biliary. Children usually present with biliary obstructive symptoms in the first 3 months of life. Early surgical intervention to treat biliary atresia is critical to prevent irreversible liver damage.

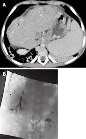
Biliary atresia (ba) is the destructive inflammatory obliterative cholangiopathy of neonates. Left untreated or with failure of the kasai procedure, biliary atresia progresses towards … The bile duct is a tube that allows the passage of bile from the liver into the gall bladder and, eventually, the small intestine. The mrc of infants with type i and ii of biliary atresia in this study did not show the very thin but patent bile fig4. Imaging features on preoperative ultrasonography (us) and magnetic resonance imaging (mri) were compared between the cba and cc.

Https Www Birpublications Org Doi Pdf 10 1259 Bjr 20170406
Https Www Birpublications Org Doi Pdf 10 1259 Bjr 20170406 from
Hepatocellular cholestasis results from impairment of bile formation and indicates defective functioning of most or all hepatocytes. Biliary atresia imaging accessed 26 october 2017) fetal / embryonic form: Unequivocal evidence of intestinal excretion of radiolabel confirms patency of the extrahepatic biliary system. Congenital absence of biliary tree us: Biliary atresia is a serious liver disorder that occurs before or shortly after birth when a baby's bile ducts (the tubes that carry bile from the liver) become blocked. Gallbladder length less than 19 mm is suggestive for atretic gallbladder 2. Purpose to evaluate the incremental value of a combination of magnetic resonance cholangiopancreatography (mrcp) and ultrasonography (us), compared to us alone, for diagnosing biliary atresia (ba) in neonates and young infants with cholestasis. It is the most common cause of.

Left untreated or with failure of the kasai procedure, biliary atresia progresses towards …

The us and mrcp studies were both performed on 64 neonates and. Purpose to evaluate the incremental value of a combination of magnetic resonance cholangiopancreatography (mrcp) and ultrasonography (us), compared to us alone, for diagnosing biliary atresia (ba) in neonates and young infants with cholestasis. We read with interest the article titled biliary atresia: Symptoms start shortly after birth; Hepatocellular cholestasis results from impairment of bile formation and indicates defective functioning of most or all hepatocytes. It is one of the most common causes of neonatal cholestasis, often causing cirrhosis immediately and leading to death and accounts for over half of children who undergo liver transplantation. Biliary atresia imaging accessed 26 october 2017) fetal / embryonic form: General discussion biliary atresia is a rare gastrointestinal disorder characterized by destruction or absence of all or a portion of the bile duct that lies outside the liver (extrahepatic bile duct). Once the liver fails, a liver transplant is required. Neonatal cholestasis has a variety of underlying causes. Embryologically each bile duct begins as a single layer of cells that surrounds a portal vein. Imaging in biliary atresia tuesday, october 26, 2004 biliary atresia a condition in which there is aplasia or obliteration of some or all of the extrahepatic biliary tree: Practice essentials biliary atresia (ba) is characterized by obliteration or discontinuity of the extrahepatic biliary system, resulting in obstruction of bile flow.

This case presents the classic sonographic findings of biliary atresia, including: It is the most common cause of. Imaging features on preoperative ultrasonography (us) and magnetic resonance imaging (mri) were compared between the cba and cc. Ba is not associated with calculi, neoplasm, or rupture. Biliary atresia is a rare condition in newborn infants in which the common bile duct between the liver and the small intestine is blocked or absent.

1
1 from
Materials and methods the institutional review board approved this retrospective study. Gallbladder length less than 19 mm is suggestive for atretic gallbladder 2. However, we noticed a few discrepancies that can leave the readers baffled. Über 7 millionen englischsprachige bücher. The us and mrcp studies were both performed on 64 neonates and. Based on the results of our series, the size of the gallbladder does not seem to be a decisive finding for the diagnosis of biliary atresia. It presents with jaundice during the early weeks of life, with an incidence of 0.5 to 0.75 cases Imaging in biliary atresia tuesday, october 26, 2004 biliary atresia a condition in which there is aplasia or obliteration of some or all of the extrahepatic biliary tree:

Gallbladder length less than 19 mm is suggestive for atretic gallbladder 2.

On the left we see the normal development of the ductal plate. Divided into fetal / embryonic and perinatal / acquired forms (emedicine: Imaging features on preoperative ultrasonography (us) and magnetic resonance imaging (mri) were compared between the cba and cc. This study compared clinical and radiologic differences between cystic biliary atresia (cba) and choledochal cyst (cc) type ia/b. It is the most common cause of. Hepatocellular cholestasis results from impairment of bile formation and indicates defective functioning of most or all hepatocytes. The body needs bile to aid digestion and carry wastes from the liver out of the body. It is one of the most common causes of neonatal cholestasis, often causing cirrhosis immediately and leading to death and accounts for over half of children who undergo liver transplantation. Increased echogenicity along the anterior. Biliary atresia, also known as extrahepatic ductopenia and progressive obliterative cholangiopathy, is a childhood disease of the liver in which one or more bile ducts are abnormally narrow, blocked, or absent. The diagnosis of biliary atresia could be made with mrc (fig 1b). Biliary atresia imaging accessed 26 october 2017) fetal / embryonic form: Color doppler us findings in neonates and infants by lee and colleagues (1) in the july 2009 issue of radiology.

When blocked ducts prevent bile from being excreted, the liver becomes damaged. A gallbladder that is less than 1.5 cm long is suggestive of biliary atresia 2, 3 , but biliary atresia associated with a gallbladder longer than 1.5 cm has been reported 7 . Idiopathic neonatal hepatitis accounts for the majority of cases of hepatocellular cholestasis. However, we noticed a few discrepancies that can leave the readers baffled. Biliary atresia is a rare condition in newborn infants in which the common bile duct between the liver and the small intestine is blocked or absent.

Biliary Atresia And Other Cholestatic Childhood Diseases Advances And Future Challenges Journal Of Hepatology
Biliary Atresia And Other Cholestatic Childhood Diseases Advances And Future Challenges Journal Of Hepatology from els-jbs-prod-cdn.jbs.elsevierhealth.com
Biliary atresia is a serious liver disorder that occurs before or shortly after birth when a baby's bile ducts (the tubes that carry bile from the liver) become blocked. It can be congenital or acquired. Neonatal cholestasis has a variety of underlying causes. It is the most common cause of. Left untreated or with failure of the kasai procedure, biliary atresia progresses towards … On the left we see the normal development of the ductal plate. Practice essentials biliary atresia (ba) is characterized by obliteration or discontinuity of the extrahepatic biliary system, resulting in obstruction of bile flow. Biliary atresia (ba) is a congenital biliary disorder, which is characterized by an absence or severe deficiency of the extrahepatic biliary tree.

Über 7 millionen englischsprachige bücher.

Imaging features on preoperative ultrasonography (us) and magnetic resonance imaging (mri) were compared between the cba and cc. Über 7 millionen englischsprachige bücher. Gallbladder length less than 19 mm is suggestive for atretic gallbladder 2. On the left we see the normal development of the ductal plate. Left untreated or with failure of the kasai procedure, biliary atresia progresses towards … Unequivocal evidence of intestinal excretion of radiolabel confirms patency of the extrahepatic biliary system. Based on the results of our series, the size of the gallbladder does not seem to be a decisive finding for the diagnosis of biliary atresia. It is one of the most common causes of neonatal cholestasis, often causing cirrhosis immediately and leading to death and accounts for over half of children who undergo liver transplantation. Symptoms start shortly after birth; When blocked ducts prevent bile from being excreted, the liver becomes damaged. Hepatocellular cholestasis results from impairment of bile formation and indicates defective functioning of most or all hepatocytes. Congenital absence of biliary tree us: Postoperative biliary tract (i.e., biliary leak) !

Imaging in biliary atresia tuesday, october 26, 2004 biliary atresia a condition in which there is aplasia or obliteration of some or all of the extrahepatic biliary tree: bilia. It presents with jaundice during the early weeks of life, with an incidence of 0.5 to 0.75 cases

Posting Komentar

0 Komentar